Case Study: Detecting Adulteration in Turmeric Powder Using HPTLC and Microscopy

Client Challenge
A batch of Turmeric Powder (Curcuma longa rhizome) was submitted for routine identity and quality verification. The samples were labeled as crude plant material, not extracts, and were expected to match the fingerprint of authentic turmeric reference materials.
Initial Analytical Findings
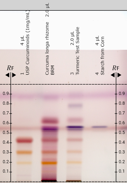
Using High-Performance Thin-Layer Chromatography (HPTLC), analysts observed that the characteristic bands associated with turmeric were fainter in the sample than in the reference standard. Additionally, the sample exhibited extraneous bands, signals not present in the authentic turmeric fingerprint, raising concerns about potential adulteration or dilution.
Microscopic Examination
To investigate further, the sample was examined under a microscope. The cellular structures were consistent with turmeric rhizome, confirming the presence of genuine plant material. However, the sample also contained a high concentration of starch granules that did not conform to turmeric’s typical morphology.
Upon comparison with known standards, these granules were found to be consistent with Corn Starch, suggesting that the turmeric powder may have been diluted or adulterated with a starch-based filler.
Turmeric Sample:

Turmeric Standard:

Corn Starch Standard:

Confirmatory Testing
To validate this hypothesis, the turmeric sample and a Corn Starch standard were analyzed side-by-side using the same HPTLC method. One of the extraneous bands in the turmeric sample matched both the color and Rf value of ~0.57 of the single band observed in the Corn Starch standard, providing strong evidence of adulteration.

Outcome & Implications
This case underscores the importance of an orthogonal testing approach, combining chemical fingerprinting with microscopic analysis, to detect subtle forms of adulteration. While the sample contained genuine turmeric, the presence of corn starch compromised its purity and potency.
For manufacturers and suppliers, this highlights the need for rigorous raw material verification and routine authenticity testing, especially for high-value botanicals like turmeric that are prone to economic adulteration.
Start the Conversation
Experiencing a challenge and need support? We can help.


